基本情報
| お店名 |
清潭JUNEIS(ジュニス)美容外科
チョンダムジュニス
청담 주니스
CHEONGDAM JUNEIS
|
|---|---|
| 電話番号 | 02-3447-0301 |
| ホームページ | http://www.juneis.jp |
| 予算 | 29,800 ウォン~ |
アクセス
| 住所 |
ソウル市 江南区(カンナムグ) 清潭洞(チョンダムドン) 6-5 リッツタワー3F
서울 강남구 청담동 6-5 리츠타워 3층
|
|---|---|
| アクセス方法案内 | 地下鉄7号線清潭(チョンダム、Cheongdam)駅から8番出口を出ます。!!! 600mほど直進し、大きな交差点の角を左折します。「ACE家具」の右隣のビル「RITZ」の3階にあります(JUNEISという看板あり)。 |
詳細情報
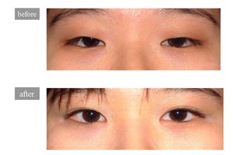
清潭洞(チョンダムドン)にある清潭JUNEIS(チョンダム ジュニス)整形外科&皮膚科です。旅行中の短い期間の中でも施術が受けれるプチ整形(ボトックスやヒアルロン酸注入)とエステティックが大人気だそう。チョンダムドンは高級ブランド街、芸能人がよく出没するスポットとしても有名所です。JUNEISでも芸能人が皮膚管理などによく訪れるそう!!それだけではなく、日本から安心して施術受けられるように日本語堪能のドクターと日本語コーディネーターがいますよ。また韓国に来る前に相談や説明もメールなどでご連絡頂ければ日本語で受けられるのも嬉しいですね。全て日本語が通じるので韓国にいながら日本にいる雰囲気で施術と治療が受けられます。それぞれ専門医がいるので美容整形からお肌の管理、エステティック、体型管理もこちらですべて解決できちゃいますよ♪専門医がお悩みを解決してくれます
<日本語堪能なドクターそして日本に提携病院も> また日本に戻った際にアフターケアや相談も受けられるよう日本で提携病院もあります。(現在は大阪にあります。) ザ・北浜タワー 耳鼻咽喉科皮膚科クリニック
清潔感あふれる店内受付は3階にあります。こちらのフロアーはカウンセリングや皮膚管理、エステが受けられるようになっています。エステなどが終わってからもお化粧ができよう設備が整っていたり、個人ルームもありますよ。2階は手術室になっています。手術が終わってからもしっかり休めるよう広い休憩室があります。 3階 受付 相談ルーム お化粧室 3人用ルーム 3人用ルーム レーザー室 個室ルーム 3階ロビー 2階 手術室 休憩室 2階ロビー JUNEISのメニューを紹介しますジェミニーレーザー 美白効果のあるジェミニーレーザー。痛みもダウンタイムもないので旅行中でも安心して治療ができます。お肌のハリ、シミ、色素沈着、にきび、毛穴、顔面紅潮にも効果があります。 ND-Yagレーザー Eco2レーザー モザイクレーザー 日本ではフレクショナルレーザーとも呼ばれるモザイクレーザーはにきび、にきび跡、毛穴に効果のあるレーザーです。気になるにきび跡なども綺麗してくれる優秀なレーザー治療とも言われています。 自然アトピー治療薬芸能人もたくさん来ています |
